안녕하세요 건강정보를 전하는 뉴 노멀입니다👍🏻
오늘은 발의 다양한 부골 중 하나인 부주상골에 대해 알아보는 시간입니다!
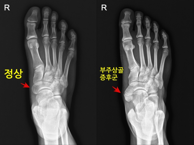
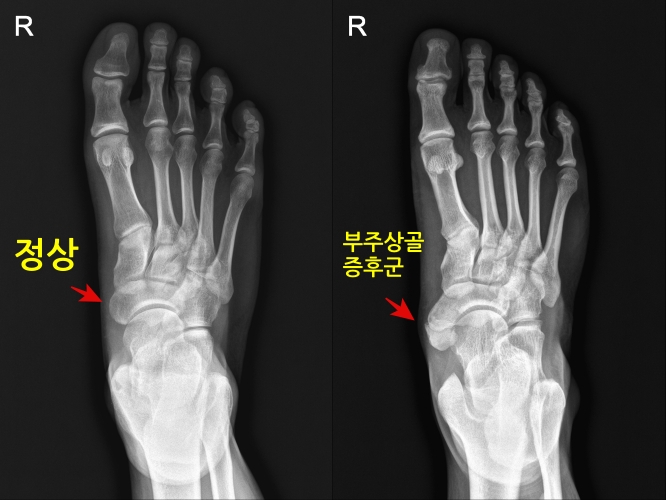
주상골의 내측에 발생하여 부주상골이라고 불리며, 전체 인구의 2~14%가 존재하는 선천성 질환입니다.
대부분 증상을 나타내지 않고 X-ray촬영 시 우연히 발견되는 경우가 대부분이며, 증상이 발생되면 적극적인 치료가 필요한
부주상골 증후군(Accessory navicular syndrome)은 무엇인지, 치료 방법 등에 대해 알아보겠습니다.

부주상골 증후군의 정의 및 발생원인은?
주상골은 발의 아치 안쪽 부분을 구성하는 작고 편평한 뼈로 후경골건의 부착부이기도 합니다.
부주상골은 발의 내측에 위치한 주상골에 붙어있는 부골입니다. 부주상골은 섬유조직 또는 연골로 주상골에 연결되어 있지만 유합이 되지 않은 상태입니다.
부주상골 증후군은 정확한 원인은 미상이지만 대부분 선천성 질환으로, 출생 시 부터 여분의 부골이 생성되어있다는 의미입니다.
후천적인 원인으로는 체중증가, 발에 맞지 않는 신발, 외상, 장시간 보행 등이 있습니다.
부주상골 증후군을 가진 환자는 대부분 증상이 없지만, 지속적인 사용으로 인해 후경골건의 통증과 붓기를 동반한 염증이 발생될 가능성이 있습니다. 염증 발생원인으로는 과사용, 직접적 외상 또는 신발의 자극으로 인해 발생합니다.

부주상골 증후군의 증상 및 진단 방법은?
부주상골 증후군의 대표적인 증상은 오래 걷거나 서있을때 악화되며, 대부분 청소년기에 발생되지만 일부 증상은 성인기에 시작될 수 있습니다. 육안으로 발이나 아치 내측, 또는 내측에 튀어나와 눈에 띄는 뼈 부위가 확인되며, 가끔 발적이 발생하거나 통증, 붓기 등의 증상을 경험할 수 있습니다.
진단은 족부 전문의 진찰 및 진료가 필요하며, 다음과 같은 검사로 진단할 수 있습니다
- X-ray, CT : 부주상골 존재여부 및 형상 확인
- USG : 국소부위 염증 여부 확인
- MRI : 부주상골 및 연부조직 손상 확인

부주상골 증후군 치료 방법은?
비 수술적 치료
비 수술적 치료는 증상을 완화시키는 간단한 방법이며, 다음과 같습니다.
- 얼음찜질
- 고정치료
- 경구약 : 비스테로이드성
- 물리치료
- 아치 교정용 깔창
- 무리한 활동 자제
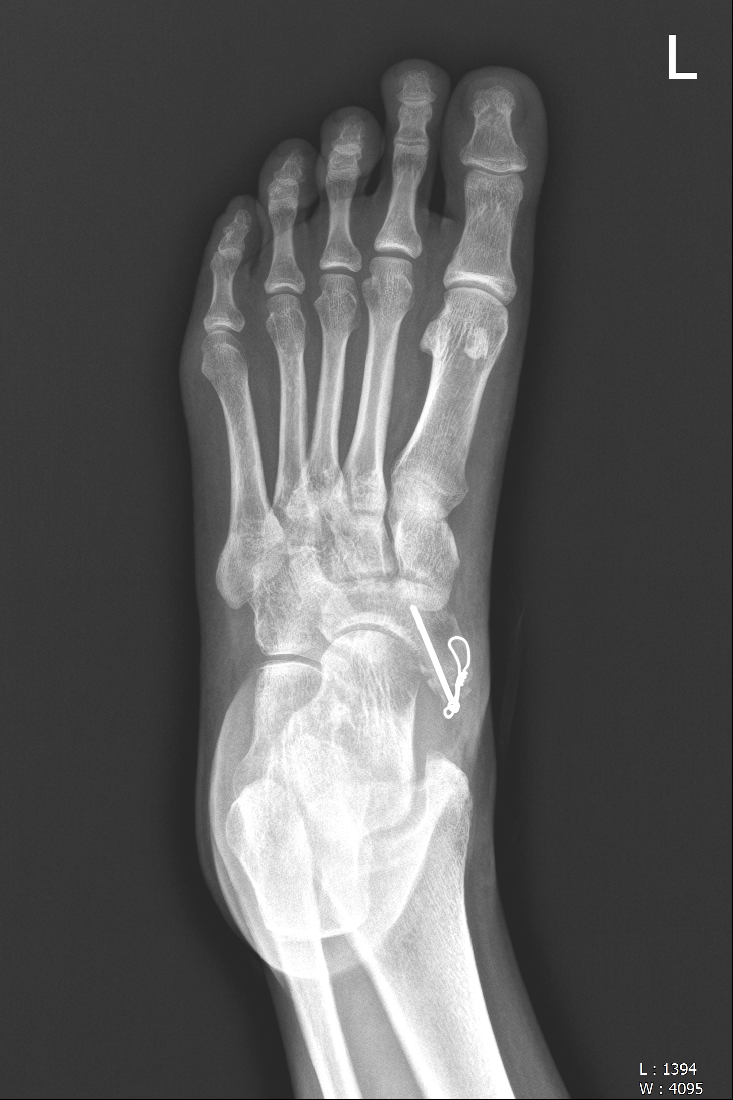
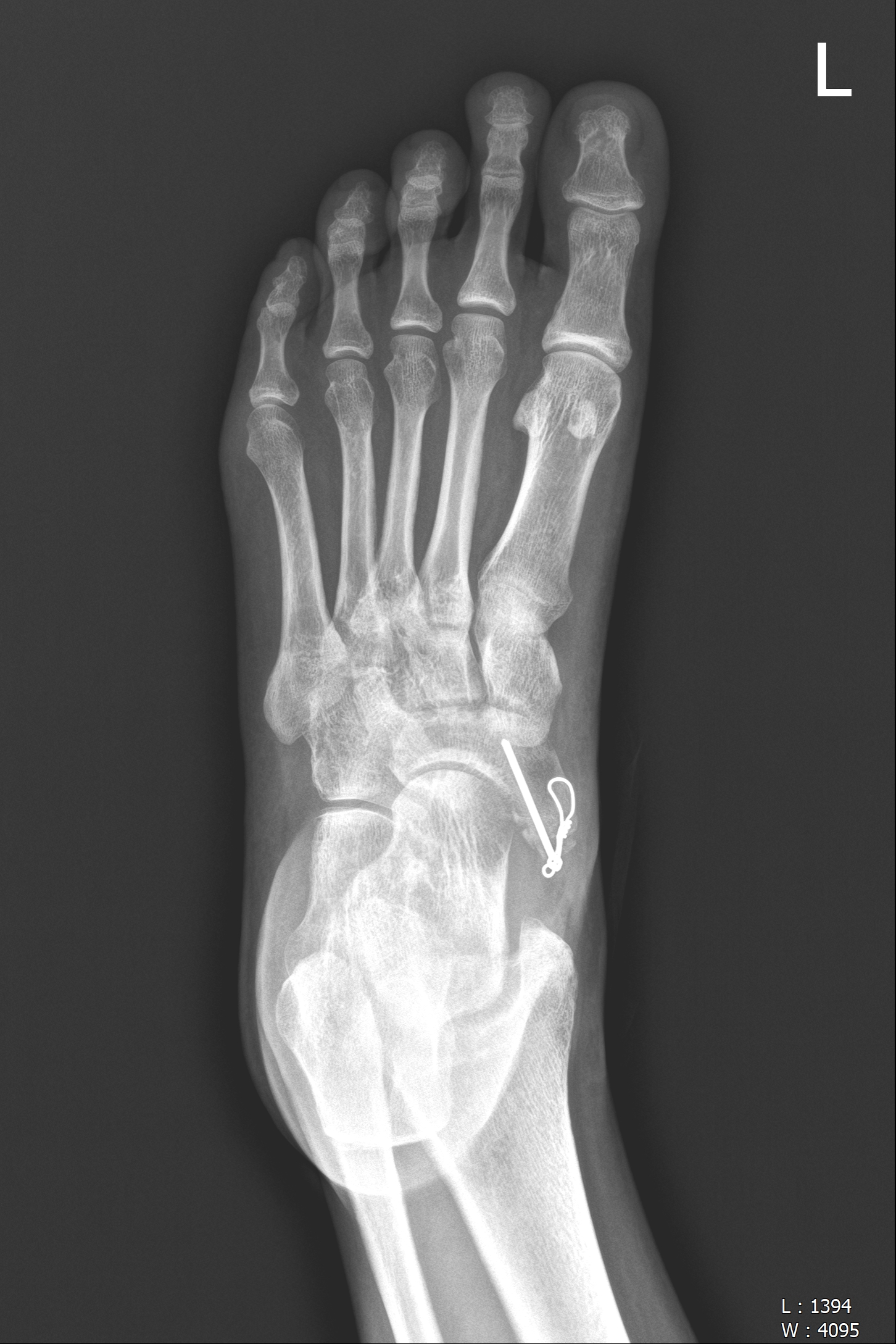
수술적 치료
비 수술적 치료에도 호전이 안될 경우, 부주상골 제거술 또는 고정술이 필요할 수 있습니다.
발의 정상적기능에는 부주상골이 필요치 않으므로 제거 후 재활치료를 통해 증상을 호전 시킬 수 있습니다. 때때로 경우에 따라 부주상골 제거 후 후경골근 힘줄 고정술도 필요할 수 있으며 수술은 통증 및 증상완화에 90%이상의 효과를 보입니다.


부주상골 증후군 수술 시 재활방법
- 고정치료 : 약 4주
- 얼음찜질
- 초기 관절가동범위 회복운동 : Plantar flexion / Dorsi flexion
- 고유수용성 운동
- 하지 근력운동
부주상골증후군은 부주상골이 아주 작거나 주상골과 뼈로 단단히 결합되어 있을 시 통증이 나타나지 않는 경우도 있지만 부주상골의 크기가 크거나 부주상골과 주상골의 약한 결합 또는 신발로 인한 자극으로 인해 후천적인 평발이 발생될 수 있습니다.
이로 인해 발의 높은 피로도가 쉽게 발생하며, 발 중앙 안쪽의 통증, 부종 등이 발생할 수 있으므로 증상 발현 시 병원에 내원하여 보존적 치료를 시행해볼 수 있으며 증상지속 시 전문의의 진단하에 적극적인 치료를 시행하는 것을 권해드립니다.
모두의 건강을 위해, 뉴 노멀이었습니다.💪🏻
'Wellness Life' 카테고리의 다른 글
| 병원 진료 시 신분증 필수!!! (본인확인강화 제도 시행) (0) | 2024.06.20 |
|---|---|
| 강직성 척추염-경직성 척추염-강직척추염-요추통증 (0) | 2024.05.30 |
| 물 마시기-하루 수분섭취-탈수예방 (0) | 2024.05.24 |